TIPS & DIPS Procedures for Liver Disease
TIPS & DIPS Procedures for Liver Disease with Fluid in Abdomen and Lungs
Advanced liver disease and portal hypertension can lead to severe complications such as refractory ascites (fluid in the abdomen), pleural effusion around the lungs and Budd–Chiari syndrome with blocked hepatic veins and inferior vena cava (IVC).
Transjugular Intrahepatic Portosystemic Shunt (TIPS) and Direct Intrahepatic Portosystemic Shunt (DIPS) are minimally invasive procedures that create a controlled channel for blood to flow away from high‑pressure veins in the liver, helping reduce fluid build‑up and related symptoms.
When Are TIPS & DIPS Considered?
These procedures are usually recommended in selected patients with portal hypertension who continue to have complications despite maximum medical treatment and repeated fluid drainage.
By lowering the pressure in the portal venous system, TIPS and DIPS can help control fluid build‑up in the abdomen and around the lungs, improve symptoms and reduce the need for frequent hospital visits for tapping of fluid.
Common Indications
TIPS/DIPS may be considered in:
- Refractory ascites (fluid in the abdomen) not controlled with medicines and diet
- Recurrent hydrothorax (fluid around the lungs) due to portal hypertension
- Budd–Chiari syndrome with blocked hepatic veins/IVC
How the Procedure Is Done
TIPS and DIPS are performed in a specialised catheterisation lab under ultrasound and fluoroscopy (X‑ray) guidance, usually through a vein in the neck (internal jugular vein).
- Transjugular access: a thin catheter is passed from the neck vein into the hepatic or IVC system.
- Portal vein puncture: the right portal vein branch is carefully punctured from inside the liver.
After the Procedure
Patients are monitored in the hospital for a short period after TIPS/DIPS. To ensure the best outcome, we usually advise:
- Observation of vital signs, liver function and kidney function after the procedure
- Monitoring for improvement in ascites and breathlessness over the next few days
- Regular ultrasound or Doppler scans to confirm good flow through the stent
- Continuing appropriate medicines and diet as advised by your liver specialist
- Reporting confusion, drowsiness, increasing swelling or breathlessness immediately
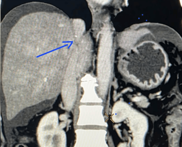
Before and after procedure, we did DIPS procedure on this patient
Frequently Asked Questions
-
1.Who is suitable for TIPS or DIPS?
These procedures are considered in selected patients with portal hypertension who have complications such as refractory ascites, recurrent fluid around the lungs, Budd–Chiari syndrome or difficult‑to‑control variceal bleeding. Suitability is decided after detailed evaluation by your liver specialist and interventional radiologist.
-
2.Are TIPS/DIPS procedures painful?
The procedure is performed under local anesthesia with sedation or general anesthesia, so you should not feel significant pain during the procedure. Some discomfort at the puncture site or mild soreness can occur afterwards and is usually well controlled with medicines.
-
3.How long will I need to stay in the hospital?
Most patients stay in the hospital for a few days for observation, adjustment of medicines and monitoring of fluid status. The exact duration depends on your overall liver function and associated medical conditions.
-
4.What are the possible risks?
As with any major liver procedure, there are risks such as bleeding, infection, contrast‑related reactions, shunt blockage or narrowing and, in some patients, worsening of hepatic encephalopathy (confusion). We take detailed precautions to minimise these risks and monitor you closely during follow‑up.
-
5.Will TIPS/DIPS cure my liver disease?
These procedures do not cure the underlying liver disease, but they can significantly reduce complications of portal hypertension and improve symptoms and quality of life. Ongoing liver care and follow‑up with your hepatology team remain essential.
-
6.Will I still be eligible for liver transplant after TIPS/DIPS?
In many cases, TIPS or DIPS is used as a bridge to transplant, helping stabilise your condition while you await further evaluation. Your transplant and liver teams will guide you on how these procedures fit into your long‑term treatment plan.
