Image‑Guided Therapeutic & Diagnostic Procedures
Safer, More Accurate Procedures
Image‑guided procedures use ultrasound or CT to precisely target deep lesions and collections through a tiny skin puncture. This improves accuracy, reduces complications and often avoids open surgery.
- High precision targeting for small or difficult lesions
- Minimal pain, small puncture, fast recovery
- Day‑care or short stay in many cases
- Coordinated care with your physician/surgeon/oncologist
Diagnostic & Therapeutic Procedures
Biopsy & Marker Placement
Used to confirm diagnosis, stage disease, or plan treatment by sampling tissue or placing markers in target lesions.
- CT‑guided biopsy of pelvic lesions
- Biopsy of small abdominal lesions
- Lung and mediastinal lesion biopsies
- USG‑guided metallic marker placement
Drainage & Decompression
Used to relieve obstruction or infection by draining collections or decompressing blocked systems under imaging guidance.
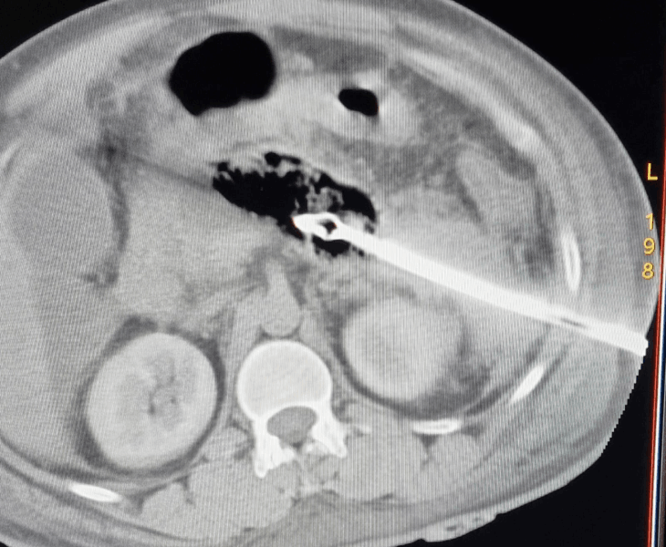
- CT‑guided drainage of pancreatic collections
- CT‑guided drainage of obstructed kidney systems
- Lung and mediastinal drainage procedures
- Image‑guided catheter placements and follow‑up
Common Image‑Guided Procedures We Perform
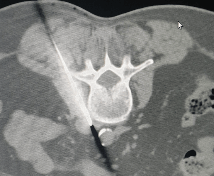
CT‑Guided Pelvic Biopsy
Accurate tissue sampling from deep pelvic lesions with CT guidance.
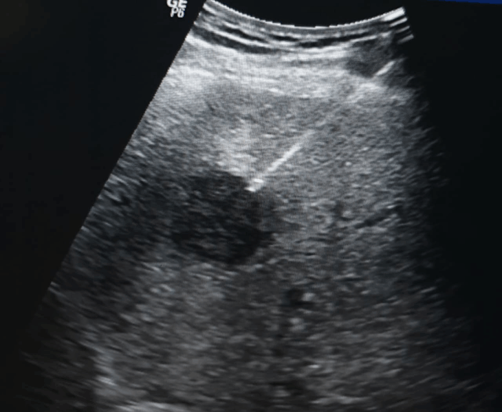
Small Lesion Biopsy
Targeted biopsy of small abdominal lesions that are difficult to reach otherwise.
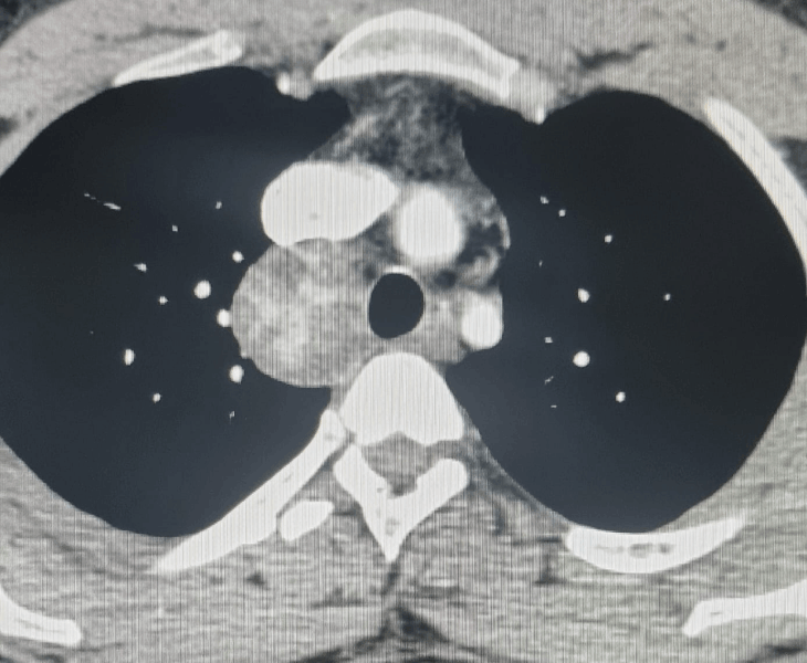
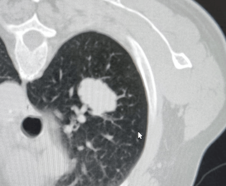
Lung & Mediastinal Biopsies
CT‑guided biopsies for suspected lung/mediastinal tumours and nodules.
Marker Placement
USG‑guided marker placement to help surgeons and oncologists target lesions precisely.
Pancreatic Collection Drainage
CT‑guided catheter drainage to treat infected collections and relieve symptoms.
Obstructed Kidney Drainage
Image‑guided drainage to decompress blocked collecting systems and protect kidney function.
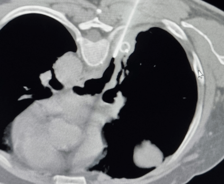
Chest & Mediastinal Drainage
Drainage procedures to relieve collections in the chest/mediastinum under CT guidance.
What to Expect
- Most procedures are done under local anesthesia with sedation if needed
- Antibiotics and pain relief are provided when required
- Observation for a short period after the procedure
- Clear discharge instructions and follow‑up plan
