Treatment of Complex Vascular Malformations
Complex Vascular Malformations
Vascular malformations are abnormal networks of blood vessels present from birth. They can slowly enlarge over time and may cause pain, swelling, skin discoloration, bleeding, ulcers, or functional limitation—especially when they involve the limbs.
Interventional radiology offers minimally invasive, image‑guided treatment options that target the malformation precisely. The goal is to reduce abnormal blood flow, relieve symptoms, and improve function—often avoiding major surgery.
- Targeted embolization / sclerotherapy for abnormal vessels
- Staged treatment for large or complex lesions
- Post‑treatment imaging follow‑up to assess response
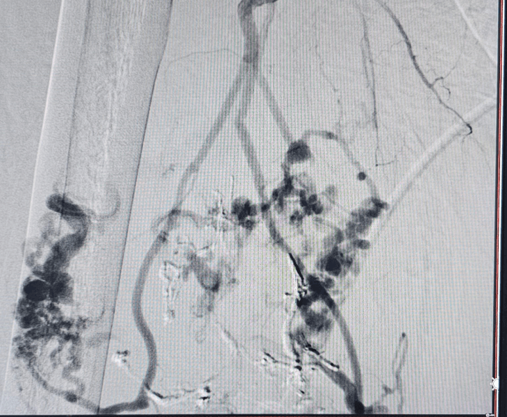
Large vascular malformation in leg
Post treatment
When to Seek Treatment
Not every malformation needs treatment. We consider intervention when symptoms are significant or when the malformation risks complications.
Common symptoms
- Persistent pain, heaviness or swelling
- Visible lump/vascular swelling or skin discoloration
- Bleeding, ulceration or recurrent infections
- Reduced mobility or functional limitation
Assessment usually includes
- Clinical examination and detailed history
- Doppler ultrasound to assess flow pattern
- MRI/MRA to map extent and tissue involvement
- Angiography when planning embolization
How We Treat Complex Malformations
1. Precise Mapping
We identify the feeding vessels and the malformation “nidus” using Doppler, MRI and angiography to plan a safe, targeted approach.
2. Image‑Guided Treatment
Depending on the lesion, we perform embolization and/or sclerotherapy to reduce abnormal flow and shrink the malformation in a controlled manner.
3. Staged Follow‑Up
Large lesions may need more than one session. We monitor clinical response and repeat imaging to confirm sustained reduction.
Post treatment
Common Questions
Is it a permanent cure?
Many malformations can be controlled very effectively, but complex lesions may require staged sessions and long‑term follow‑up to maintain results.
Will I need surgery?
Often, image‑guided treatment can avoid major surgery. In some cases, combined care with surgery may be advised depending on the lesion location and symptoms.
Is the procedure painful?
Treatment is performed with appropriate anesthesia/sedation. Some soreness or swelling can occur afterwards and is managed with medicines.
How many sessions are needed?
Small lesions may need a single session, while large or complex malformations may require multiple sessions for safe, gradual reduction.
